058-297-1779
受付時間:AM 9:00~12:00
 PM   4:00~8:00

-Total Conditioning Labo-
ヤマモト整骨院

 野球肩・肘専門外来(予約制)

このような症状で悩んでいませんか?

  • ボールを投げると痛い
  • 全力投球できない
  • 肘の内側を押すと痛い
  • 離断性骨軟骨炎と診断された
  • いつ治るのか光が見えない
  • 投球を再開すると痛みが出てしまう
  • 病院に通っているが中々改善しない
  • 投球フォームを改善したい
  • 草野球で肩に痛みがあり楽しめない
  • 病院で野球肘と言われた
  • 野球肩と言われた
  • ここをクリックして表示したいテキストを入力してください。

野球肩・野球肘が治りにくい本当の理由

①「痛い部分だけ」を治療しても改善しない

野球肩・野球肘の原因は肩や肘だけではありません。

・肩甲骨の動き不足
・体幹の使い方
・股関節の硬さ
・リリースポイントのズレ
・回旋不足
・下半身からの力が伝わらないフォーム

身体全体の連動(キネティックチェーン)が崩れると 肩・肘に負担が集中します。

② フォームを見ずに治療しても再発する

投球障害は局所の治療から全身のコンディショニング、最終的には投球フォームの改善まで必要です。

投球動作は下半身で発生させた力を体幹を通して最終的には指先という末端に力を伝達させる必要があります。肩・肘の痛みや障害は、その運動連鎖がどこかで破綻することによって結果として生じます。

だから痛みのある局所のみを治療していても結果は思わしくないことが多いのです。

当院では、局所の治療から全身のコンディショニング、投球フォームの改善まで一貫した治療を行うことが出来ます。

③ エコー検査で炎症や損傷が確認されていない


触って判断するだけでは、
本当の原因(腱・靱帯・成長線の状態)はわかりません。

当院では
臨床運動器系超音波技師資格(岐阜県初)を取得している
運動器エコーのエキスパートが的確に判断し施術を行ないます。




当院の野球肩・野球肘施術が選ばれる理由

実際のスライダーの動きは、プレビュー/公開ページでご確認ください

①痛みの原因を“エコーで見える化”

リトルリーグ肩
離断性骨軟骨炎
上腕二頭筋長頭腱炎

②大学院で生体力学を学んだ施術者が対応

投球時の力の伝わり方・関節の角度・運動連鎖を科学的に評価できることが最大の強み。

*院長の投球動作を三次元動作解析風景(早稲田大学にて)

③投球フォーム改善までサポート

痛みの原因はフォームに隠れていることも多いため、

・肘下がり
・体の開き
・体幹の機能
・軸足の動き
・ステップ足
・姿勢

などを細かく分析し改善します。

④各年代の選手のケガ・成長にも精通

医療人としての成長曲線の理解と少年団から中学ボーイズ、高校、大学生までの野球の指導経験を活かした施術

最新の医療機器で最高の治療を!!

ショックマスター 岐阜
拡散型体外衝撃波ショックウェーブ(ショックマスター、圧力波)
 欧州をはじめとしたリハビリテーション先進国を含む世界65カ国で広く使用され、近年大変注目されている最先端医療機器、拡散型ショックウェーブ(圧力波)です。
 野球肘(初期の離断性骨軟骨炎)への効果も報告されています。
大谷翔平
あの大谷翔平選手も使っています

 初めての時は、かかとに使ったんですが、その時はすぐに痛みは取れました。翌日少し戻ってきましたけど、それでも良くなっているという感覚は実感できました。 かかと以外には肘とか肩にも使ってますけど、張ってたりしていても結構とれたりして、他の治療器よりも、より強力な感じだなって思います。

小見出し
ここをクリックして表示したいテキストを入力してください。テキストは「右寄せ」「中央寄せ」「左寄せ」といった整列方向、「太字」「斜体」「下線」「取り消し線」、「文字サイズ」「文字色」「文字の背景色」など細かく編集することができます。

当院の強み

医療人として、また野球人として、治療からコンディショニング、フォーム指導まで一貫した治療が行えます。

野球経験者
ショボくはあったが、一応甲子園を目指した、ザ高校野球経験者。
小学・中学・高校での10年以上に及ぶ野球指導&トレーナー経験
フィールドでの現場と臨床とのギャップがよく理解でき、医療側の考えだけで無く、選手の気持ちが分かり治療や指導にあたることができる。
岐阜県初の臨床運動器系超音波技師
日本超音波骨軟組織学会(JSBM)理事としてエコーの指導&正しいエコーの使い方を啓蒙。岐阜県初の臨床運動器系超音波技師資格(JSBM認定)取得しエコーエキスパート。
野球肩・肘に精通
同業の先生方に度々の野球肘エコーセミナー講義するなど投球障害治療を得意としている。
小見出し
ここをクリックして表示したいテキストを入力してください。

当院の施術は安心・安全です

安心・安全

日本超音波骨軟組織学会(JSBM)認定の難関資格である臨床運動器系超音波技師(岐阜県初)を保持。整形外科医師とも連携し、守備範囲外は専門医に紹介します。
 
 投球障害に関しては、同業の先生方に対して度々野球肘セミナーを行うなど野球肩・肘に精通しております。
経歴・資格・サポートチーム
  • 早稲田大学大学院卒業(修士、人間科学)
    早稲田大学 ヒューマンパフォーマンス研究所 招聘研究員(2020年現在)
  • アメリカシカゴナショナルカイロプラクティック大学短期留学
  • 臨床運動器系超音波技師{日本超音波骨軟組織学会(JSBM)認定}
    日本超音波骨軟組織学会(JSBM)認定講師
    日本超音波骨軟組織学会(JSBM)理事
  • 柔道整復師
    健康管理士
    医薬品登録販売者
  • 日本プロスポーツ専門学校硬式野球部 講師兼トレーナー
    県立岐阜商業高校硬式野球部(H21年~H29年)
    県立岐山高校硬式野球部 コーチ
    揖斐本巣ボーイズ トレーナー(中学硬式野球クラブ)
    岐阜スゥープス(B3プロバスケットボール)
  • ここをクリックして表示したいテキストを入力してください。
表示したいテキスト


局所の治療から全身のコンディショニング、投球フォーム指導まで


施術の流れ

初回問診(カウンセリング)

野球肩・野球肘のカウンセリング
予約制にて時間を確保し、しっかりとお話しを伺い、野球肘・野球肩となっている真の原因を探ります。

体組成測定&理学検査

野球肩・野球肘のIn-body
In-body
 筋肉と脂肪の割合、部位別筋肉バランス、身体バランスを計測し野球肘・野球肩の原因を探るとともに以後の治療に役立てます。
野球肩・野球肘の可動域
理学検査
 筋力テスト、ROM(関節可動域)、整形外科的徒手検査等々行い、障害の更なる原因を探ります。
小見出し
ここをクリックして表示したいテキストを入力してください。テキストは「右寄せ」「中央寄せ」「左寄せ」といった整列方向、「太字」「斜体」「下線」「取り消し線」、「文字サイズ」「文字色」「文字の背景色」など細かく編集することができます。

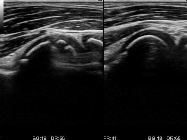
エコー検査

野球肩・野球肘のエコー
高精度エコー
 最高峰の高精度エコーにより、野球肘・野球肩の細かな損傷も見逃さず、お身体の状態を把握します。
野球肩・野球肘のエコー画像
離断性骨軟骨炎
 野球肘のガンとも言われる、最も難渋する疾患です。
絶対に見逃してはなりません。早期発見が最重要事項です。
 エコー等の画像診断が無ければ早期発見は不可能と思われる障害です。
小見出し
ここをクリックして表示したいテキストを入力してください。テキストは「右寄せ」「中央寄せ」「左寄せ」といった整列方向、「太字」「斜体」「下線」「取り消し線」、「文字サイズ」「文字色」「文字の背景色」など細かく編集することができます。

抗炎症、鎮痛、除痛

ハイボルテージ 岐阜
立体動態波、ハイボルテージ
 高電圧電流による電流刺激を、皮膚に抵抗を与えずに深部組織まで到達させ、直接患部の炎症の抑制、痛みの軽減、治癒力の促進させます。 
 従来の電気療法に比べ、身体の奥深い患部への直接のアプローチができるため、野球肘・野球肩などの投球障害に対して非常に高い鎮痛効果と即効性が望めます。
岐阜
小見出し
ここをクリックして表示したいテキストを入力してください。テキストは「右寄せ」「中央寄せ」「左寄せ」といった整列方向、「太字」「斜体」「下線」「取り消し線」、「文字サイズ」「文字色」「文字の背景色」など細かく編集することができます。

鎮痛、組織修復・再生

拡散型体外衝撃波ショックウェーブ(ショックマスター、圧力波)
 欧州をはじめとしたリハビリテーション先進国を含む世界65カ国で広く使用され、近年大変注目されている最先端医療機器、拡散型ショックウェーブ(圧力波)です。
 野球肘(初期の離断性骨軟骨炎)への効果も報告されています。
また、投球過多による肩、肘の硬くなった筋肉を緩和、リリースするのにもとても有効です。
小見出し
ここをクリックして表示したいテキストを入力してください。テキストは「右寄せ」「中央寄せ」「左寄せ」といった整列方向、「太字」「斜体」「下線」「取り消し線」、「文字サイズ」「文字色」「文字の背景色」など細かく編集することができます。

組織修復・再生

オステオトロン 岐阜
LIPUS(低出力パルス超音波、骨折治療器、オステオトロン)
 LIPUS(Low Intensity Pulsed Ultra Sound:低出力パルス超音波)の音圧効果により、骨折部位の骨の形成を促進し、骨癒合期間を約40%短縮できます。
 近年、骨のみに限らず、筋・腱・靱帯などの軟部組織の損傷修復にも効果が認められており、野球肘・野球肩にも応用されます。
小見出し
ここをクリックして表示したいテキストを入力してください。テキストは「右寄せ」「中央寄せ」「左寄せ」といった整列方向、「太字」「斜体」「下線」「取り消し線」、「文字サイズ」「文字色」「文字の背景色」など細かく編集することができます。

手技療法

岐阜 ヤマモト整骨院
岐阜 接骨院
小見出し
ここをクリックして表示したいテキストを入力してください。テキストは「右寄せ」「中央寄せ」「左寄せ」といった整列方向、「太字」「斜体」「下線」「取り消し線」、「文字サイズ」「文字色」「文字の背景色」など細かく編集することができます。

コンディショニング

岐阜 野球
ディッピング
肩甲骨面での外転・内旋可動域の確保
野球 岐阜
ハイプーリー
僧帽筋上部線維の抑制、中下部線維促通
ベースボール
チューブ・バンド
肩甲骨可動性、胸郭可動性の増大
野球 パワープレート
パワープレート
ストレッチ効果、筋トレ、股関節ヒンジ動作
小見出し
ここをクリックして表示したいテキストを入力してください。

ストレッチ&ホームワーク指導

ストレッチ
小見出し
ここをクリックして表示したいテキストを入力してください。テキストは「右寄せ」「中央寄せ」「左寄せ」といった整列方向、「太字」「斜体」「下線」「取り消し線」、「文字サイズ」「文字色」「文字の背景色」など細かく編集することができます。

投球フォーム指導

 野球肘・野球肩は投球フォームが原因で発症していることも非常に多くあります。
 根本改善を目指すには投球フォームの改善は必要不可欠です。
小見出し
ここをクリックして表示したいテキストを入力してください。テキストは「右寄せ」「中央寄せ」「左寄せ」といった整列方向、「太字」「斜体」「下線」「取り消し線」、「文字サイズ」「文字色」「文字の背景色」など細かく編集することができます。

指導前

指導後

小見出し

ここをクリックして表示したいテキストを入力してください。テキストは「右寄せ」「中央寄せ」「左寄せ」といった整列方向、「太字」「斜体」「下線」「取り消し線」、「文字サイズ」「文字色」「文字の背景色」など細かく編集することができます。

指導前

指導後

小見出し

ここをクリックして表示したいテキストを入力してください。テキストは「右寄せ」「中央寄せ」「左寄せ」といった整列方向、「太字」「斜体」「下線」「取り消し線」、「文字サイズ」「文字色」「文字の背景色」など細かく編集することができます。

投球フォーム指導CATV取材時の様子

小見出し
ここをクリックして表示したいテキストを入力してください。

患者様の声

野球肘

10代 男性 高校生
・施術を受ける前、どんな症状に悩んでましたか?
肘の痛み(野球肘)
痛いときは投球をやめたり、軽く投げることしかできなかった。

・施術を受けてどうでしたか?
ショックウェーブを含め、先生と相談しながら、全身のケアをすることで、思う存分野球をすることができるようになった。

・もし施術を受けていなかったら、今頃はどんな生活を送っていたと思いますか?
痛いから投げられない→休む→投げる→投げられないを繰り返していたと思う。
ピッチャーを続けられなかったかもしれない。

・お悩みの方へ、一言お願いします。
まずは試してみて下さい。

野球肩

18才 男性 大学生
・施術を受ける前、どんな症状に悩んでましたか?
肩痛

・施術を受けてみてどうでしたか?
だいぶ肩痛がなくなり、肩の調子がすごく良くなった。
体の使い方に対する考え方が変わり、野球が更に楽しくなりました。

・もし施術を受けていなかったら、今頃はどんな生活を送っていたと思いますか?
今までと同じ生活

・お悩みの方へ、一言お願いします。
諦めたら終わりです。

野球肩

30代 男性 
・施術を受ける前、どんな症状に悩んでましたか?
肩の痛みがひどく、野球ができず、日常生活にも支障がでていて辛かったです。

・施術を受けてみてどうでしたか?
何度か施術を受けているうちに痛みがなくなり、可動域が戻ってきました。

・もし施術を受けていなかったら、今頃はどんな生活を送っていたと思いますか?
毎日痛みでストレスがあり楽しくない休日を送っていたと思います。

・お悩みの方へ、一言お願いします。
自分だけで治すのは限界があると思うので、一度、先生の施術を受けてみて下さい。

投球フォーム改善指導後、いただいたご感想

 大変お忙しい所、急なご無理を聞いて頂きありがとうございました。
 山本先生の一言ひとことに込められた納得性と信頼性の高いご指導に妻も子供達も不安から解消されて、気持ちが充実しております。

 多くの人は、崩れたフォームに気付けなかったり、気付いてもどうやって修正したら良いのか分からないと思います。
 暫く目を離している間に取り返しのつかない状態になってしまった兄にも希望の光が見えました。

本当にありがとうございました。

スポーツ科学専攻

 院長は早稲田大学大学院にて神経筋制御論を専攻し人間科学、スポーツ科学を修了。
 また高校野球部、中学硬式野球クラブチーム、プロバスケットボールチームサポートなどトレーナー活動も積極的に行っております。
資格&サポートチーム
  • NSCA-CSCS(ストレングス&コンディショニングスペシャリスト)
    NSCA-CPT(パーソナルトレーナー)、Lv1認定
    SAQトレーニングLv1インストラクター

  • 県立岐阜商業高校硬式野球部(H21~H29)
    県立岐山高校硬式野球部
    揖斐本巣ボーイズ
    岐阜スゥープス(B3プロバスケットボール)
  • ここをクリックして表示したいテキストを入力してください。
表示したいテキスト

料金

通常

初検料2,000+施術料4,800=6,800円
のところ
HP特別価格


LINEでの予約はこちらから

受付時間(予約制)

スケジュール(スマホ横スクロール)はタブレット以上のサイズでのみ編集可能です
(実際の公開ページではタブレットサイズ以下で横スクロールが表示されます)
09:00 - 12:00
/
/
16:00 - 20:00
/
●※
/
13:00 - 18:30
/
/
/
/
※・・・土曜のみ、19:00までの受付となります。
休業日は、水曜 / 日曜日になります。

アクセス・お問合せ

〒502-0909
岐阜県岐阜市白菊町5-10
☎058-297-1779
予約制
岐阜で野球肘・野球肩の治療をお探しなら、岐阜市の-Total Conditioning Labo-ヤマモト整骨院へ。
お気軽にご相談下さい。